phone icon Kirton in Lindsey phone icon 01652 640 291
Call Now
pig pocket money icon

0% Finance Available

Free Implant Consultation

Trusted Local UK Dentist

Dental Implants in Kirton in Lindsey

Restore Your Smile with Single Tooth Implants

From £2,000 or as little as £49 p/m

BOOK A FREE CONSULTATION
trustpilot image Over 3,400 patients trust us
with their smile
award icon High-quality premium-brand
implant system
dental implants background image
quote icon Very pleasant treatment areas with professional, helpful staff.

Complete Dental Implants in Kirton in Lindsey

Are you feeling self-conscious due to a missing tooth? Single tooth implants can restore your smile and improve your oral health. At Dee Kay Dental, we’re dedicated to helping you regain your confidence.

  • Free Implant Consultation
  • 0% Finance Available
  • Trusted Local UK Dentist
  • Over 3,400 patients trust us with their smile
BOOK A FREE CONSULTATION

Why choose Dee Kay Dental?

Expertise and Experience

The practice boasts a team of highly trained specialists with extensive experience in dental implant procedures, ensuring top-quality care and successful outcomes. This expertise significantly reduces the risk of complications.

Advanced Technology

Utilising the latest dental technologies, such as 3D imaging and computer-guided implant placement, the practice enhances precision and efficiency in procedures. This results in quicker recovery times and improved aesthetic outcomes for patients.

Comprehensive Care and Support

Patients receive a holistic approach that includes thorough consultations and personalised treatment plans, ensuring they feel informed and comfortable throughout the process. Ongoing support from the team further enhances the overall experience.

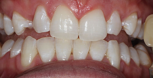
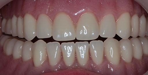
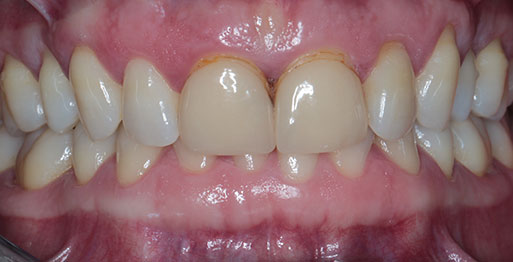
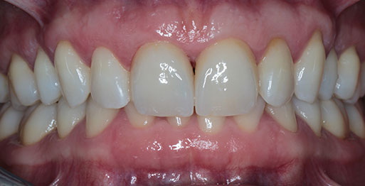
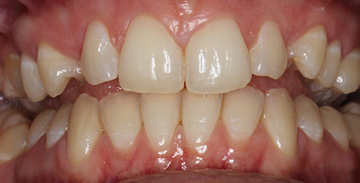
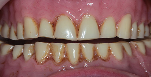
Before & After

before
Before
after
After
before
Before
after
After
before
Before
after
After

Testimonials

I have been coming to this practice of around 15 years. The dentist is fantastic and so patient and the receptionists are all brilliant as well.

This is the second time I have had emergency treatment in the past 2 years and the fear of dentist’s is something that I have just overcome. But the way this dentist and their nurse were was very professional and patient…

Love my dental clinic I wouldn’t go anywhere else now. Very thorough and explains the treatment in detail. All the staff are friendly. I always recommend this dentist.

Book a Free Consultation

Talk to our experienced treatment coordinators for free over a call.

Full name(Required)
Hidden
Hidden
Hidden
Hidden

Why Choose Single Tooth Implants?

  • Natural Appearance: Our implants blend seamlessly with your existing teeth, providing a natural look.
  • Durability: With proper care, implants can last a lifetime, making them a cost-effective solution.
  • Improved Oral Health: Implants help preserve jawbone structure, preventing bone loss.
  • Enhanced Functionality: Enjoy the freedom to eat your favourite foods without discomfort.
  • Easy Maintenance: Caring for an implant is simple—just brush, floss, and visit us for regular check-ups.
BOOK A FREE CONSULTATION

About Dee Kay Dental

Our modern, hygienic practices are welcoming and staffed by caring dentists, nurses and hygienists who are all highly trained and experienced in delivering state-of-the-art dental and oral healthcare. We provide care to our patients through NHS or private funding and offer a comprehensive range of general and cosmetic treatments including teeth whitening, dental implants, Invisalign in Gainsborough, clear braces in Sheffield and Invisalign in Sheffield, as well as essential dental care to give you strong teeth and a healthy mouth.

BOOK A FREE CONSULTATION

Dee Kay Dental